HEMATOHIDROSIS-LIKE SYMPTOMS OF SKIN-PICKING DISORDER
DOI:
https://doi.org/10.55374/jseamed.v9.251Keywords:
hematohidrosis, hematidrosis, bloody sweat, skin picking, self-induced nail disorders, body-focused repetitive behaviorAbstract
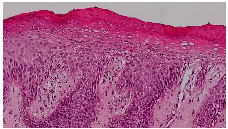
Hematohidrosis, also known as hematidrosis, is a rare condition characterized by the presence of blood in sweat, with an unknown etiology. Although pathophysiology is poorly understood, psychological stress is undoubtedly linked to the condition. The diagnosis of hematohidrosis is complex, and it is only after bleeding disorders, vasculitis, trauma, and other disorders are ruled out. We describe a 12-year-old girl with a history of spontaneous bleeding on all fingernail folds. The patient and her mother denied trauma, picking, and provoking situations. The bleeding on all fingernail folds even occurred at the hospital. However, histopathology supported the diagnosis of hematohidrosis-like symptoms from skin-picking disorder. This case demonstrates that unusual bleeding on the fingernail folds can be associated with skin-picking or self-induced nail disorders. Careful history-taking and a thorough physical examination are essential to avoid unnecessary skin biopsies.
Downloads
Metrics
References
Holoubek JE, Holoubek AB. Blood, sweat, and fear. “A classification of hematidrosis”. J Med 1996; 27: 115-33.
Norn MS. Microscopically and chemically detected haemolacria. Acta Ophthalmol (Copenh) 1977; 55: 132-40. DOI: https://doi.org/10.1111/j.1755-3768.1977.tb06102.x
Uber M, Robl R, Abagge KT, Carvalho VO, Ehlke PP, Antoniuk SA, et al. Hematohidrosis: insights in the pathophysiology. Int J Dermatol. 2015; 54: e542-3. DOI: https://doi.org/10.1111/ijd.12932
Jerajani HR, Jaju B, Phiske MM, Lade N. Hematohidrosis - a rare clinical phenomenon. Indian J Dermatol 2009; 54: 290-2. DOI: https://doi.org/10.4103/0019-5154.55645
Wang Z, Yu Z, Su J, Cao L, Zhao X, Bai X, et al. A case of hematidrosis successfully treated with propranolol. Am J Clin Dermatol 2010; 11: 440-3. DOI: https://doi.org/10.2165/11531690-000000000-00000
Guldiken Dogruel G, Atis G, Esen M, Ulutas Demirbas G, Guldogan O, Demirbas A, et al. Self-Induced Nail Disorders: Clinical and Demographical Features. Int J Dermatol 2025; 64: 1409-15. DOI: https://doi.org/10.1111/ijd.17781
Ortiz-López LIS, G.; Chen, R.; Braun, N.; Kim, E.J.; Aihie, O.P.; Spiegel, B.R.; Meltzer, B.R.; Nambudiri, V.E. Skin-picking disorder: Risk factors, comorbidities, and treatments. JAAD Reviews 2025; 3: 182-9. DOI: https://doi.org/10.1016/j.jdrv.2025.02.004
Manonukul J, Wisuthsarewong W, Chantorn R, Vongirad A, Omeapinyan P. Hematidrosis: a pathologic process or stigmata. A case report with comprehensive histopathologic and immunoperoxidase studies. Am J Dermatopathol 2008; 30: 135-9. DOI: https://doi.org/10.1097/DAD.0b013e318164cf4b
Twohig MP, Hayes SC, Masuda A. A preliminary investigation of acceptance and commitment therapy as a treatment for chronic skin picking. Behav Res Ther 2006; 44: 1513-22. DOI: https://doi.org/10.1016/j.brat.2005.10.002
Downloads
Published
How to Cite
Issue
Section
License
Copyright (c) 2025 Journal of Southeast Asian Medical Research

This work is licensed under a Creative Commons Attribution-NonCommercial-NoDerivatives 4.0 International License.
The Journal of Southeast Asian Medical Research will hold the copyright to all published articles. The publisher's production department handles copyright forms once a manuscript is accepted and scheduled for publication.

